診療詳細

HOME | 診療詳細


診療科目

インプラント等
様々な先端治療にも対応

一般歯科・小児歯科・口腔外科・歯周病
審美歯科 ・ 各種義歯・インプラント


診療科目

インプラント等
様々な最先端治療にも対応

一般歯科・小児歯科・口腔外科
審美歯科・歯周病 ・ 各種義歯
インプラント


歯科・小児歯科

現状を詳しく把握し、
患者様の負担を最小限に

一般歯科 ---------------
当院では、まず現状を詳しく把握し、適切な治療計画を提示いたします。
 
みなさまが安心して治療に専念していただけるよう心掛けています。
 
お子様から、ご年配の方々まで、家族のごとく親切丁寧に対応させて頂きます。
 
歯の健康管理:
歯科は一般的な歯の健康管理を担当します。
これには虫歯の治療、歯周病の治療、歯のクリーニングなどが含まれます。
 
補綴治療:
歯を失った場合、インプラント、ブリッジ、入れ歯などの補綴治療を提供いたします。
 
予防:
適切な歯のケア方法や予防措置についてもアドバイスいたします。
 
小児歯科 ---------------

成長段階への対応:
小児歯科は子供たちの歯と口の健康を専門的に扱います。
歯の成長段階に合わせた治療やケアを提供いたします。
 
予防と教育:
予防を重視し、親や子供たちに適切な歯のケアや栄養の重要性についてお伝えします。
歯がどのように成長し発育するかに関する専門的な知識を元に治療を提供いたします。
 
子供向けの治療手法:
子供たちが歯科治療を受ける際に安心感を得られるような治療手法や環境を提供します。
これにはくつろげる待合室や親しみやすいスタッフが含まれます。
 
歯科と小児歯科はそれぞれに焦点を当て、専門的な知識とアプローチにより治療を提供いたします。

_1303-9364_20211210183702700.jpg chi_20210804230245548.jpg pxt00004724618902.jpg

歯科・小児歯科

現状を詳しく把握し、患者様の負担を最小限に

一般歯科 ---------------
当院では、まず現状を詳しく把握し、適切な治療計画を提示いたします。
みなさまが安心して治療に専念していただけるよう心掛けています。
お子様から、ご年配の方々まで、家族のごとく親切丁寧に対応させて頂きます。
 
歯の健康管理:
歯科は一般的な歯の健康管理を担当します。
これには虫歯の治療、歯周病の治療、歯のクリーニングなどが含まれます。
 
補綴治療:
歯を失った場合、インプラント、ブリッジ、入れ歯などの補綴治療を提供いたします。
 
予防:
適切な歯のケア方法や予防措置についてもアドバイスいたします。
 
小児歯科 ---------------

成長段階への対応:
小児歯科は子供たちの歯と口の健康を専門的に扱います。
歯の成長段階に合わせた治療やケアを提供いたします。
 
予防と教育:
予防を重視し、親や子供たちに適切な歯のケアや栄養の重要性についてお伝えします。
歯がどのように成長し発育するかに関する専門的な知識を元に治療を提供いたします。
 
子供向けの治療手法:
子供たちが歯科治療を受ける際に安心感を得られるような治療手法や環境を提供します。
これにはくつろげる待合室や親しみやすいスタッフが含まれます。
 
歯科と小児歯科はそれぞれに焦点を当て、専門的な知識とアプローチにより治療を提供いたします。

 
 
 
_1303-9364_20211210183702700.jpg chi_20210804230245548.jpg pxt00004724618902.jpg

PMTCクリーニング

医院にて徹底クリーニング、
ご自宅にてセルフケア

PMTC ---------------
PMTCクリーニングは、専門のトレーニングを受けたスタッフが、専用の器具を使って行う口腔内清掃です。
一般的に歯垢や歯石の除去、歯の表面の清掃を行います。
 
歯の表面の汚れや着色物の除去:
PMTCクリーニングは、歯の表面に付着した歯垢や歯石、着色物などを効果的に除去します。
歯石・プラークはもちろんのこと、歯ブラシだけでは取れないバイオフィルムや(むし歯や歯周病を引き起こす細菌のかたまり)自分では取れないすき間に残った汚れを徹底的に除去します。
これにより、歯が清潔で美しく見えるだけでなく、口臭の軽減にも寄与します。
 
歯周病の予防:
歯垢や歯石が放置されると、歯周病の原因となります。
PMTCクリーニングにより、これらの歯の問題を予防し、歯周病の進行を抑制することが期待されます。
 
歯の健康維持:
定期的なPMTCクリーニングは、歯の健康を維持し、虫歯や歯周病のリスクを低減します。
これにより、将来的な歯のトラブルを防ぐことができます。
 
口腔内の健康状態のモニタリング:
歯科医はPMTCクリーニングの際に、口腔内の健康状態を観察し、異常があれば早期に発見することができます。
早期の異常発見は治療の成功率を向上させる一助となります。
 
歯科不安の軽減:
歯のクリーニングは一般的に痛みが伴わないため、歯科不安症の患者にも受け入れやすい処置です。
これにより、定期的な歯科検診とクリーニングを受けることが促進されます。
 
PMTCクリーニングは歯の健康維持に重要であり、定期的な歯科検診と併せて行われることが推奨されています。

pmt1_20200425225337596.jpg _1303-9364_20211210183702700.jpg pmt_20200602185409600.jpg

PMTCクリーニング

医院にて徹底クリーニング、ご自宅でセルフケア

PMTC ---------------
PMTCクリーニングは、専門のトレーニングを受けたスタッフが、専用の器具を使って行う口腔内清掃です。
一般的に歯垢や歯石の除去、歯の表面の清掃を行います。
 
歯の表面の汚れや着色物の除去:
PMTCクリーニングは、歯の表面に付着した歯垢や歯石、着色物などを効果的に除去します。
歯石・プラークはもちろんのこと、歯ブラシだけでは取れないバイオフィルムや(むし歯や歯周病を引き起こす細菌のかたまり)自分では取れないすき間に残った汚れを徹底的に除去します。
これにより、歯が清潔で美しく見えるだけでなく、口臭の軽減にも寄与します。
 
歯周病の予防:
歯垢や歯石が放置されると、歯周病の原因となります。
PMTCクリーニングにより、これらの歯の問題を予防し、歯周病の進行を抑制することが期待されます。
 
歯の健康維持:
定期的なPMTCクリーニングは、歯の健康を維持し、虫歯や歯周病のリスクを低減します。
これにより、将来的な歯のトラブルを防ぐことができます。
 
口腔内の健康状態のモニタリング:
歯科医はPMTCクリーニングの際に、口腔内の健康状態を観察し、異常があれば早期に発見することができます。
早期の異常発見は治療の成功率を向上させる一助となります。
 
歯科不安の軽減:
歯のクリーニングは一般的に痛みが伴わないため、歯科不安症の患者にも受け入れやすい処置です。
これにより、定期的な歯科検診とクリーニングを受けることが促進されます。
 
PMTCクリーニングは歯の健康維持に重要であり、定期的な歯科検診と併せて行われることが推奨されています。

 
 
 
pmt1_20200425225337596.jpg _1303-9364_20211210183702700.jpg pmt_20200602185409600.jpg

セルフケア ---------------

歯ブラシ等、衛生用品
当院では様々な衛生用品を取り扱っております。
歯ブラシ、歯磨き粉、歯間ブラシなど、みなさまに適したものをおすすめしております。
 
是非、歯科医院推奨の製品を使ってみて下さい。
ご満足いただけることと思います。
 

 
 
 

 
ソニックケアー
ご自宅でのセルフケアに当院では「ソニックケアー」を取り扱っております。
 
ソニックケアー独自のテクノロジーにより、普通の歯ブラシで歯磨きを行うよりも確実に歯垢除去が出来ます。
 

syouni_img01.jpg img_8656.jpg so.jpg

セルフケア ---------------

歯ブラシ等、衛生用品
当院では様々な衛生用品を取り扱っております。
歯ブラシ、歯磨き粉、歯間ブラシなど、みなさまに適したものをおすすめしております。
是非、歯科医院推奨の製品を使ってみて下さい。
ご満足いただけることと思います。
 

 
ソニックケアー
ご自宅でのセルフケアに当院では「ソニックケアー」を取り扱っております。
ソニックケアー独自のテクノロジーにより、普通の歯ブラシで歯磨きを行うよりも確実に歯垢除去が出来ます。
 

syouni_img01.jpg img_8656.jpg so.jpg

審美性を伴う歯科治療

白く、美しい歯は好印象

虫歯でなければ健康か?
そうではありません。
 
歯の色や歯並び、歯肉の状態により、虫歯ではないけれど、自然と口を開けることに抵抗を感じる・・・
そのよう事もあると思います。
全てをバランス良く整えることが審美への道です。
 
ホワイトニング ---------------
当院では、医院にて歯に美白薬品を塗布し、特殊な光を照射して行う、オフィスホワイトニングと、ご自宅でも行えるホームホワイトニングを提供しております。

特にご自宅でお好きな時に行えるホームホワイトニングはお手軽でおすすめです。
美白剤の主成分は過酸化水素で、消毒薬のオキシドールとして知られています。

欧米では、すでに100万人以上の方がこの技術で歯を美白しています。
喫煙や、コーヒー・紅茶の飲用などによる歯の変色、老化や遺伝による黄ばみにも優れた効果があります。
 

whi1.jpg tio10.jpg whit.jpg

審美性を伴う歯科治療

白く、美しい歯は好印象

虫歯でなければ健康か?そうではありません。
歯の色や歯並び、歯肉の状態により、虫歯ではないけれど、自然と口を開けることに抵抗を感じる・・・そのよう事もあると思います。
全てをバランス良く整えることが審美への道です。
 
ホワイトニング ---------------
当院では、医院にて歯に美白薬品を塗布し、特殊な光を照射して行う、
オフィスホワイトニングと、ご自宅でも行えるホームホワイトニングを提供しております。
特にご自宅でお好きな時に行えるホームホワイトニングはお手軽でおすすめです。
美白剤の主成分は過酸化水素で、消毒薬のオキシドールとして知られています。
欧米では、すでに100万人以上の方がこの技術で歯を美白しています。
喫煙や、コーヒー・紅茶の飲用などによる歯の変色、老化や遺伝による黄ばみにも優れた効果があります。
 

 
 
 
 
whi1.jpg tio10.jpg whit.jpg

オールセラミックス ---------------
金属を全く使わずに、セラミックのみを使用した歯で、限りなく天然歯に近く、審美性も得られます。
金属アレルギーの方にも安心して使うことが出来る人工歯です。
 
自然な外観:
オールセラミック歯は、天然の歯と非常に良く似ています。
セラミックは光を自然に反射し、歯のエナメル質に似た透明感があります。
そのため、見た目が非常に自然で他の歯と調和します。
 
金属の使用が避けられる:
金属フリーの歯科治療を希望する患者にとっては、オールセラミック歯が選択肢として考えられます。
金属を使用しないことで、審美性や金属アレルギーのリスクを回避できます。
 
耐久性が高い:
セラミックは通常、噛む力に対して強い耐性を持っています。
また、オールセラミック歯は変色しにくく、長期間美しい状態を保つことができます。
 
生体適合性がある:
セラミックは口腔内での生体適合性が高く、口の中で違和感を感じることが少ないです。
また、歯茎にも優れた適合性があり、歯ぐきの健康を維持しやすいです。
 
ハイブリッドインレー ---------------
セラミックの粒子とレジン(プラスチック)を混ぜたもので作られたインレー(詰め物)です。
 
セラミックインレーよりもやわらかく、周囲の歯にダメージを与えにくいというメリットがありますが、色調は多少劣ります。

cera_(2).jpg c4.jpg cru.jpg cru1.jpg
 
em3.jpg in.jpg img20200429231110694790.jpg re.jpg re1.jpg

ラミネートベニア ---------------
歯の表面を少し削ってそこに薄いセラミックのシェルを貼り付ける治療法です。
歯を半永久的に白くしたい場合や、歯の形を変えたい場合などに用いられます。
 
短期間で思い通りの白さにすることが出来るのでモデルや芸能人の間では人気の治療法です。
 
当院では、表面を舐める程度の削りでダメージ少なくベニアを施術する事が出来ます。

pla.003-thumb.jpg ve.jpg

義歯・入れ歯

様々な種類の義歯を提供

当院では、満足度の高い義歯を提供出来るよう、多種多様なものを取り扱っております。
 
保険対応の義歯はもちろんの事、審美性や快適性の高い保険外の義歯も多数取りそろえております。
 
サーモセンスデンチャー ---------------
審美性が高く目立ちにい快適な入れ歯です。(保険適用外)
・金属のバネを使っていない
・ブリッジのように隣の歯を削らない
・快適な装着感
・割れにくく長く使える
・金属アレルギーの心配がない
素材は、生体適合性、柔軟性、強靱性を持つ、ベルテックスサーモセンスを使用しております。
 

 
バイオソフト ---------------
入れ歯の歯ぐきに触れる部分に生体シリコンという柔らかい素材を貼り付けることによって歯ぐきにかかる圧力の軽減、噛んだときの痛みの緩和などの効果が期待できます。
特に総入れ歯の方は、より高い装着力を実感できます。
 
コーヌスデンチャー ---------------
残っている歯に金属冠をかぶせ、その上から入れ歯を装着するというタイプの部分入れ歯です。
 
ものを噛む能力が高く、クラスプが必要ないので見た目も良いのですが、技術的に難しいという欠点があるため、行っている歯科医院は多くありません。

ire21_20201017231537781.jpg ssde.jpg sm10.jpg サーモセンスデンチャー co3.jpg バイオソフト coh.jpg コーヌスデンチャー

義歯・入れ歯

様々な種類の義歯を提供

当院では、満足度の高い義歯を提供出来るよう、多種多様なものを取り扱っております。
保険対応の義歯はもちろんの事、審美性や快適性の高い保険外の義歯も多数取りそろえております。
 
サーモセンスデンチャー ---------------
審美性が高く目立ちにい快適な入れ歯です。(保険適用外)
・金属のバネを使っていない
・ブリッジのように隣の歯を削らない
・快適な装着感
・割れにくく長く使える
・金属アレルギーの心配がない
素材は、生体適合性、柔軟性、強靱性を持つ、ベルテックスサーモセンスを使用しております。
 

 
バイオソフト ---------------
入れ歯の歯ぐきに触れる部分に生体シリコンという柔らかい素材を貼り付けることによって歯ぐきにかかる圧力の軽減、噛んだときの痛みの緩和などの効果が期待できます。
特に総入れ歯の方は、より高い装着力を実感できます。
 
コーヌスデンチャー ---------------
残っている歯に金属冠をかぶせ、その上から入れ歯を装着するというタイプの部分入れ歯です。
ものを噛む能力が高く、クラスプが必要ないので見た目も良いのですが、技術的に難しいという欠点があるため、行っている歯科医院は多くありません。

 
 
 
 
ire21_20201017231537781.jpg ssde.jpg sm10.jpg サーモセンスデンチャー co3.jpg バイオソフト coh.jpg コーヌスデンチャー

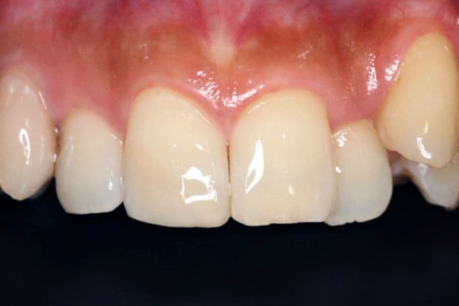
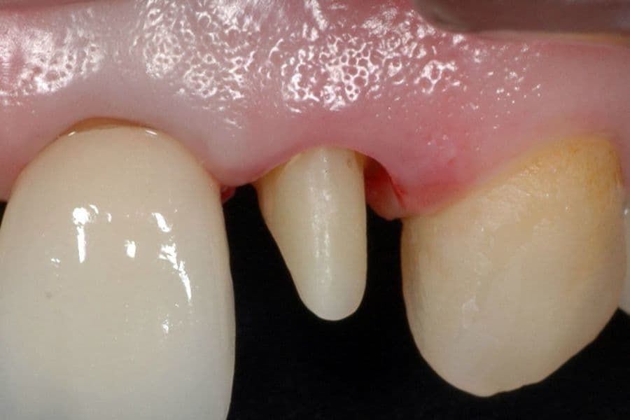
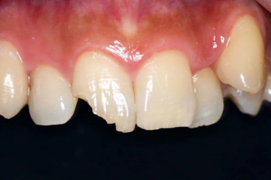
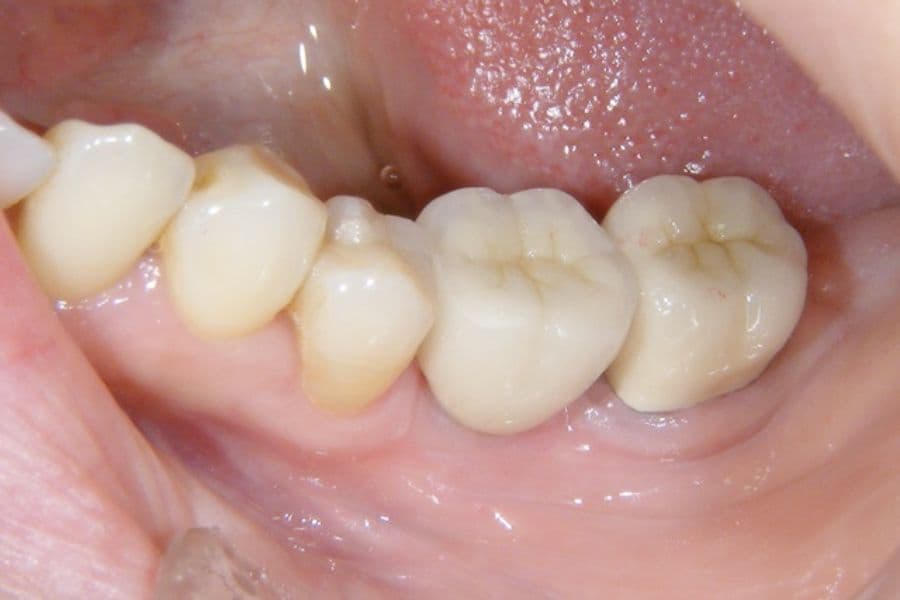
インプラント

失った歯を天然歯のように復元

当院では、失った歯を天然歯のように復元可能なインプラント治療を行っております。
 
インプラントとは、顎の骨に人工歯根となる金属を埋め込み、その金属を土台にして、天然の歯と同じような人工の歯を取り付ける治療方法です。
 
埋め込む金属に生体との親和性が高いチタンが使われる事が多く、チタンは長年の臨床研究でインプラントの素材として最も安全であり、また顎の骨としっかり結合することが確認されています。
 
天然歯のような見栄えだけでなく、これまでの入れ歯やブリッジでは満足することが難しかった「食べる・話す」という機能も回復できます。
 
インプラントは周りの歯を傷つけず、残った歯への影響が少ないため、自分の歯を多く残せます。
また顎の骨がやせるのを防げる効果もあります。
 
食べ物のカスが挟まったり、留め金が見えるといったこともないので、衛生面や見た目からも、天然歯自分の歯と同じようにきれいで美しい状態を保てます。

imp01.jpg impp.jpg impp16.jpg サーモセンスデンチャー impp19.jpg バイオソフト

インプラント

失った歯を天然歯のように復元

当院では、失った歯を天然歯のように復元可能なインプラント治療を行っております。
 
インプラントとは、顎の骨に人工歯根となる金属を埋め込み、その金属を土台にして、天然の歯と同じような人工の歯を取り付ける治療方法です。
 
埋め込む金属に生体との親和性が高いチタンが使われる事が多く、チタンは長年の臨床研究でインプラントの素材として最も安全であり、また顎の骨としっかり結合することが確認されています。
 
天然歯のような見栄えだけでなく、これまでの入れ歯やブリッジでは満足することが難しかった「食べる・話す」という機能も回復できます。
 
インプラントは周りの歯を傷つけず、残った歯への影響が少ないため、自分の歯を多く残せます。
また顎の骨がやせるのを防げる効果もあります。
 
食べ物のカスが挟まったり、留め金が見えるといったこともないので、衛生面や見た目からも、天然歯自分の歯と同じようにきれいで美しい状態を保てます。

 
 
 
 
imp01.jpg impp.jpg impp16.jpg サーモセンスデンチャー impp19.jpg バイオソフト

マウスピースによる治療

様々な用途にて活用

当院では、様々な用途に対応するマウスピースを取り扱っております。
 
無呼吸症候群 ---------------
無呼吸症候群は睡眠中に一時的に呼吸が停止する状態が繰り返される病態で、マウスピースはこの症状を軽減するために利用されます。
 
マウスピースは外科手術やCPAPといったより侵襲的な治療法を回避でき、治療を受ける際の身体的負担が軽減されます。
 
無呼吸症候群の症状が改善されると睡眠の質が向上し、日中の眠気や倦怠感等の軽減が見込まれます。

食いしばり・歯ぎしり ---------------
これらの症状は、ストレスや睡眠障害などのさまざまな要因によって引き起こされることがあります。
くいしばりや歯ぎしりが継続すると歯や口腔周囲の組織に損傷を与える可能性があります。
歯並びや咬み合わせの問題がくいしばりを引き起こすことがあります。

特製のマウスガード(夜間用マウスピース)を作成することにより歯を守り、くいしばりの影響を軽減します。

スポーツマウスピース ---------------
スポーツ時に歯や口腔を保護するためのデバイスで、スポーツ中に歯が急激な衝撃を受けることがあってもマウスピースは歯を保護し、歯の割れや折れ、歯ぐきの損傷を防ぐ役割を果たします。
 
また、スポーツ中の衝撃や力が、顎関節、口腔内の粘膜や舌などの組織も損傷する可能性があります。
それら組織を守り、噛み合わせの衝撃から防御します。
 
スポーツ中に頭部に衝撃が加わることで脳震盪のリスクが高まります。
マウスピースは、顎の位置を安定させ、脳震盪の発生を予防する可能性があります。
 
専用に作られたマウスピースは患者の歯に合わせて作成され、個別にフィットします。
これにより、適切な位置に保持され、適切な保護が得られます。
適切に設計されたスポーツマウスピースは、運動中でも会話や呼吸を妨げず、快適に使用できるようになっています。

mau2.jpg mau4.jpg mau3.jpg

マウスピースによる治療

様々な用途にて活用

当院では、様々な用途に対応するマウスピースを取り扱っております。
 
無呼吸症候群 ---------------
無呼吸症候群は睡眠中に一時的に呼吸が停止する状態が繰り返される病態で、マウスピースはこの症状を軽減するために利用されます。
 
マウスピースは外科手術やCPAPといったより侵襲的な治療法を回避でき、治療を受ける際の身体的負担が軽減されます。
 
無呼吸症候群の症状が改善されると睡眠の質が向上し、日中の眠気や倦怠感等の軽減が見込まれます。

食いしばり・歯ぎしり ---------------
これらの症状は、ストレスや睡眠障害などのさまざまな要因によって引き起こされることがあります。
くいしばりや歯ぎしりが継続すると歯や口腔周囲の組織に損傷を与える可能性があります。
歯並びや咬み合わせの問題がくいしばりを引き起こすことがあります。

特製のマウスガード(夜間用マウスピース)を作成することにより歯を守り、くいしばりの影響を軽減します。

スポーツマウスピース ---------------
スポーツ時に歯や口腔を保護するためのデバイスで、スポーツ中に歯が急激な衝撃を受けることがあってもマウスピースは歯を保護し、歯の割れや折れ、歯ぐきの損傷を防ぐ役割を果たします。
 
また、スポーツ中の衝撃や力が、顎関節、口腔内の粘膜や舌などの組織も損傷する可能性があります。
それら組織を守り、噛み合わせの衝撃から防御します。
 
スポーツ中に頭部に衝撃が加わることで脳震盪のリスクが高まります。
マウスピースは、顎の位置を安定させ、脳震盪の発生を予防する可能性があります。
 
専用に作られたマウスピースは患者の歯に合わせて作成され、個別にフィットします。
これにより、適切な位置に保持され、適切な保護が得られます。
適切に設計されたスポーツマウスピースは、運動中でも会話や呼吸を妨げず、快適に使用できるようになっています。

 
 
 
 
mau2.jpg mau4.jpg mau3.jpg

所在地

〒085-0048 釧路市駒場町1番2号

電話番号

☎:0154-31-7373

📠:0154-31-7374(FAX)

バスでお越しの方

釧路バス55番線乗車/若草8番地バス停下車

車で起こしの方

医院前駐車場をご利用ください。

お支払いについて

自費診療(保険外診療)に限り、クレジットカード払いが可能です。

 
診療時間
09:30〜13:00 - -
14:30〜17:00 - - - - - -
14:30〜18:00 - - -
休診日:木曜、日曜、祝日
お昼休み:13時~14時30分

 
「新たにご来院される方へ」
下記バナーより当院の問診票が印刷できます。
ご自宅にてゆっくりと記入してお持ち下さい。
 
 
 

所在地

〒085-0048 釧路市駒場町1番2号

電話番号

☎:0154-31-7373

📠:0154-31-7374(FAX)

バスでお越しの方

釧路バス55番線乗車/若草8番地バス停下車

車で起こしの方

医院前駐車場をご利用ください。

お支払いについて

自費診療(保険外診療)に限り、クレジットカード払いが可能です。

 
診療時間
09:30〜13:00 - -
14:30〜17:00 - - - - - -
14:30〜18:00 - - -
 
休診日:木曜、日曜、祝日  /   お昼休み:13時~14時30分
「新たにご来院される方へ」
下記バナーより、当院の問診票が印刷できます。
ご自宅にてゆっくりと記入してお持ち下さい。
 
 
 

電話予約・お問い合わせ